Voorbeelden behandelingen

Uitbouwen hoektanden en ontbrekende kleine boventanden na orthodontische behandeling

 

Voor behandeling

Na behandeling met composiet

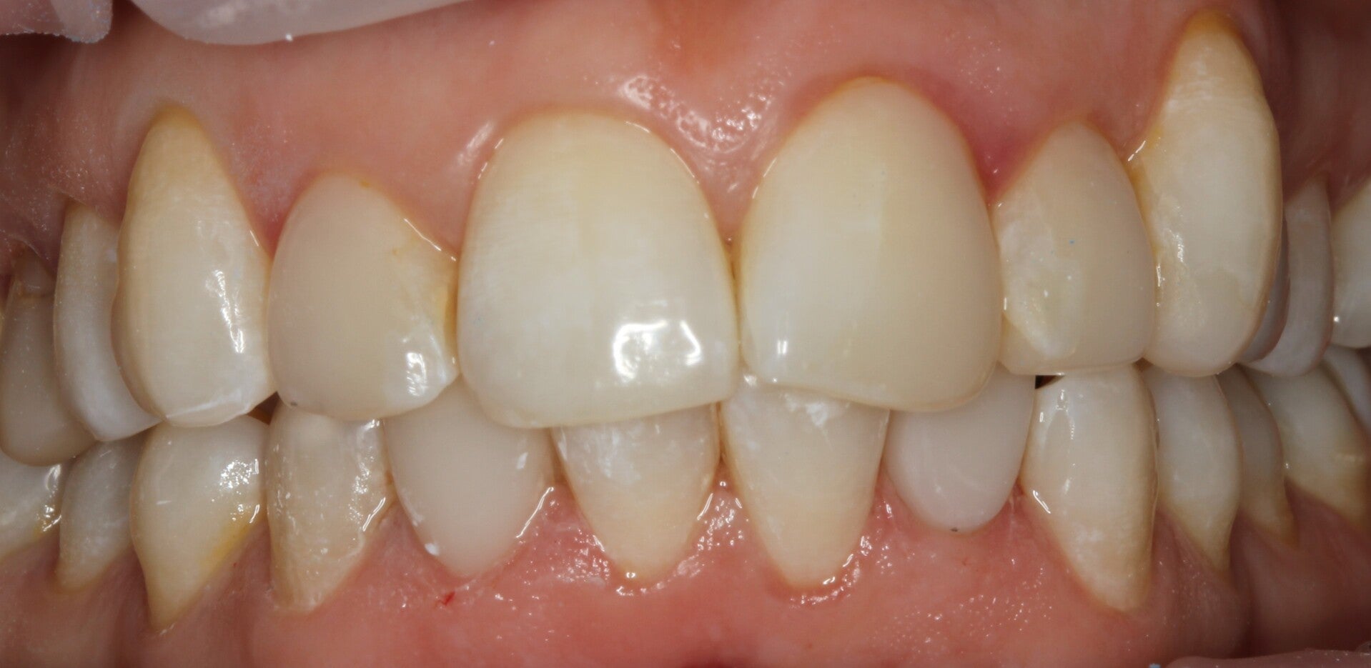
Maskeren van storende crowding als alternatief voor een orthodontische behandeling

 

Voor behandeling

Na behandeling met composiet

Maak jouw eigen website met JouwWeb